ଏହି ଉପାୟରେ ହଳଦିଆ ଦାନ୍ତକୁ କରନ୍ତୁ ଧଳା
ଏହି ଉପାୟରେ ହଳଦିଆ ଦାନ୍ତକୁ କରନ୍ତୁ ଧଳା
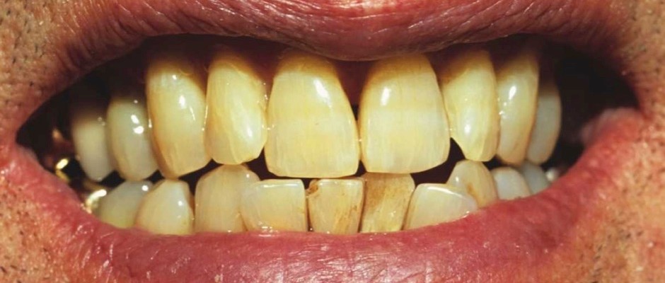
ମୁହଁକୁ ସୁନ୍ଦର କରେ ହସ ଓ ହସକୁ ସୁନ୍ଦର କରେ ଦାନ୍ତ । ସଫା ଏ ଚମକୁଥିବା ଦାନ୍ତ ସୁନ୍ଦର ହସ ସହ ମୁଖର ସୌନ୍ଦର୍ଯର୍୍ୟ ବଢାଇବାରେ ସାହାଯ୍ୟ କରିଥାଏ । କିନ୍ତୁ ଯଦି ଦାନ୍ତ ହଳଦିଆ ପଡିଥାଏ, ଯେକୌଣସି ସ୍ଥାନରେ ହସିବାକୁ ସଂକୋଚ ଲାଗିଥାଏ । ଦାନ୍ତ ହଳଦିଆ ପଡିବାର ଅନେକ କାରଣ ରହିଥାଏ । ଏଥିପାଇଁ ଡାକ୍ତରଙ୍କ ପରାମର୍ଶ ନେବା ଆବଶ୍ୟକ । ଏହା ସହିତ କିଛି ଘରୋଇ ଉପଚାର କରି ଆପଣ ଏହି ସମସ୍ୟାରୁ ମୁକ୍ତି ପାଇପାରିବେ ।
କିପରି କରିବେ:
-ଲୁଣ ଓ ତେଲରେ ଦାନ୍ତର ହଳଦିଆପଣ ଦୂର କରିପାରିବେ । ଲୁଣ ଓ ସୋରିଷ ତେଲ ମିଶାଇ ଆଙ୍ଗୁଳି ସାହାଯ୍ୟରେ ଧିରେ ଧିରେ ଦାନ୍ତରେ ମାଲିସ କରନ୍ତୁ । ଏହାକୁ ସପ୍ତାହକୁ ଥରେ କରନ୍ତୁ । ଏହା କରିବା ଦ୍ୱାରା ଧିରେ ଧିରେ ଦାନ୍ତରୁ ହଳଦିଆପଣ ଦୂରେଇଯିବ ।
-ବେକିଂ ସୋଡା ମଧ୍ୟ ଦାନ୍ତର ହଳଦିଆପଣ ଦୂର କରିବାରେ ସାହାଯ୍ୟ କରିଥାଏ । ସପ୍ତାହରେ ଥରେ ବ୍ରଶ୍ରେ କୋଲ୍ଗେଟ୍ ସହିତ ସାମାନ୍ୟ ବେକିଂ ସୋଡା ନେଇ ବ୍ରଶ୍ କରନ୍ତୁ । ହଳଦିଆପଣରୁ ମୁକ୍ତି ପାଇପାରିବେ ।
-ସପ୍ତାହରେ ଦୁଇରୁ ତିନି ଥର ଲେମ୍ବୁ, କମଳା ଚୋପାକୁ ଦାନ୍ତରେ ଘସନ୍ତୁ । ଏହା କରିବା ଦ୍ୱାରା ଦାନ୍ତରେ ଚମକ ଆଣିଥାଏ ।




admin 